Kenali Sejak Dini Periodontitis – Periodontitis merupakan salah satu komplikasi dari radang gusi (gingivitis) yang tidak terobati. Jika kondisi ini terjadi dalam jangka panjang, jaringan di sekitar gusi dan gigi akan rusak sehingga menyebabkan gigi tanggal. Pada kasus yang parah, periodontitis dapat menyebabkan kemunculan abses atau kumpulan nanah di gigi. Dari hal tersebut kita harus Kenali Sejak Dini Periodotitis.
Penyebab Periodontitis
Periodontitis bermula dari penumpukan plak di gigi. Plak ini terbentuk akibat interaksi sisa-sisa makanan dengan bakteri yang normalnya hidup di mulut. Jika tidak dibersihkan, plak tersebut akan mengeras dan membentuk karang gigi yang menjadi media bakteri berkembang biak.
Seiring waktu, bakteri di karang gigi tadi akan menghasilkan racun yang dapat menyebabkan peradangan dan iritasi gusi di sekitar gigi (gingiva). Jika tidak segera diobati, radang gusi tersebut dapat menyebabkan terbentuknya celah di gusi yang memisahkan jaringan gusi dengan gigi.
Celah tersebut menyebabkan bakteri dapat menginfeksi lebih dalam lagi sehingga merusak jaringan dan tulang di dalam gusi. Selain bisa menyebabkan gigi tanggal, radang gusi yang terus terjadi juga dapat melemahkan daya tahan tubuh.
Faktor risiko periodontitis
Selain radang gusi yang tidak terobati, ada beberapa faktor yang bisa meningkatkan risiko seseorang terkena periodontitis, yaitu:
- Obesitas
- Faktor genetik
- Kekurangan nutrisi, termasuk vitamin C
- Kurang menjaga membersihkan gigi dan mulut
- Kebiasaan merokok atau mengunyah tembakau
- Konsumsi obat-obatan yang mengurangi produksi air liur
- Perubahan hormon saat menstruasi, masa kehamilan, atau menopause
- Penyakit tertentu, seperti Down syndrome, penyakit Crohn, diabetes, dan rheumatoid arthritis
- Kondisi yang menurunkan sistem imun tubuh, seperti menderita leukemia, HIV/AIDS, atau sedang menjalani kemoterapi
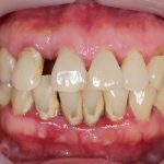
Gejala Periodontitis
Gejala periodontitis bisa beragam dan tergantung pada perkembangan peradangan yang terjadi gusi dan gigi. Namun, ada beberapa gejala atau keluhan yang umum dialami oleh penderita periodontitis, yaitu:
- Nyeri saat mengunyah
- Penumpukan plak dan karang pada gigi
- Jarak antara satu gigi dan gigi lainnya terasa renggang
- Gusi menyusut sehingga membuat gigi terlihat lebih panjang
- Gusi berwarna kemerahan atau keunguan
- Gusi terasa nyeri jika disentuh
- Gusi bengkak dan mudah berdarah
- Keluarnya nanah dari batas gigi dan gusi
- Gigi goyang atau tanggal
- Gigi sensitif
- Napas berbau tidak sedap
Kenali Sejak Dini Periodotitis
Sumber :




